Diese Seite unterstützt deinen Browser nur begrenzt. Wir empfehlen dir, zu Edge, Chrome, Safari oder Firefox zu wechseln.

WARENKORB 0

Sorry, sieht so aus, als hätten wir nicht genug von diesem Produkt.

Produkte
Kombinieren mit
Zwischensumme Kostenlos
Versand, Mehrwertsteuer und Rabattcodes werden an der Kasse berechnet

Dein Warenkorb ist derzeit leer.

Frauentags Sale

10% - ab 3 Panties

20% - ab 5 Panties

Was passiert beim Eisprung?

letzte Aktualisierung 2.10.2025, von Julia Rittereiser

Das Wichtigste in Kürze:

🥚 Eisprung: Ein reifer Follikel platzt und setzt eine Eizelle frei, die in die Gebärmutter wandert.

📅 Zeitpunkt: Meist 10–16 Tage vor der nächsten Periode, oft um den 14. Zyklustag.

Fruchtbarkeit: Eizelle 12–24 Stunden befruchtbar, Spermien bis zu 5 Tage überlebensfähig.

🔍 Anzeichen: Mittelschmerz, Zervixschleim, weicher Muttermund, höhere Libido.

❤️ Fruchtbare Tage: 5–7 Tage pro Zyklus mit erhöhter Chance auf Schwangerschaft.

Was passiert beim Eisprung?

So lange der Vorrat reicht

Schon lange neugierig, ob Periodenunterwäsche zu Dir passt? Wir haben ein tolles Einsteigerangebot für Dich!

Was passiert beim Eisprung?

Das passiert beim Eisprung

Nein, der Eisprung ist kein Phänomen, das zu Ostern* auftritt. Nach den 'springenden' Eier, um die es sich während dieser Zyklusphase handelt, musst Du Dich auch nicht auf die Suche machen, die befinden sich nämlich schon von Anfang an - also ab dem Zeitpunkt der Geburt - in Deinem Körper.

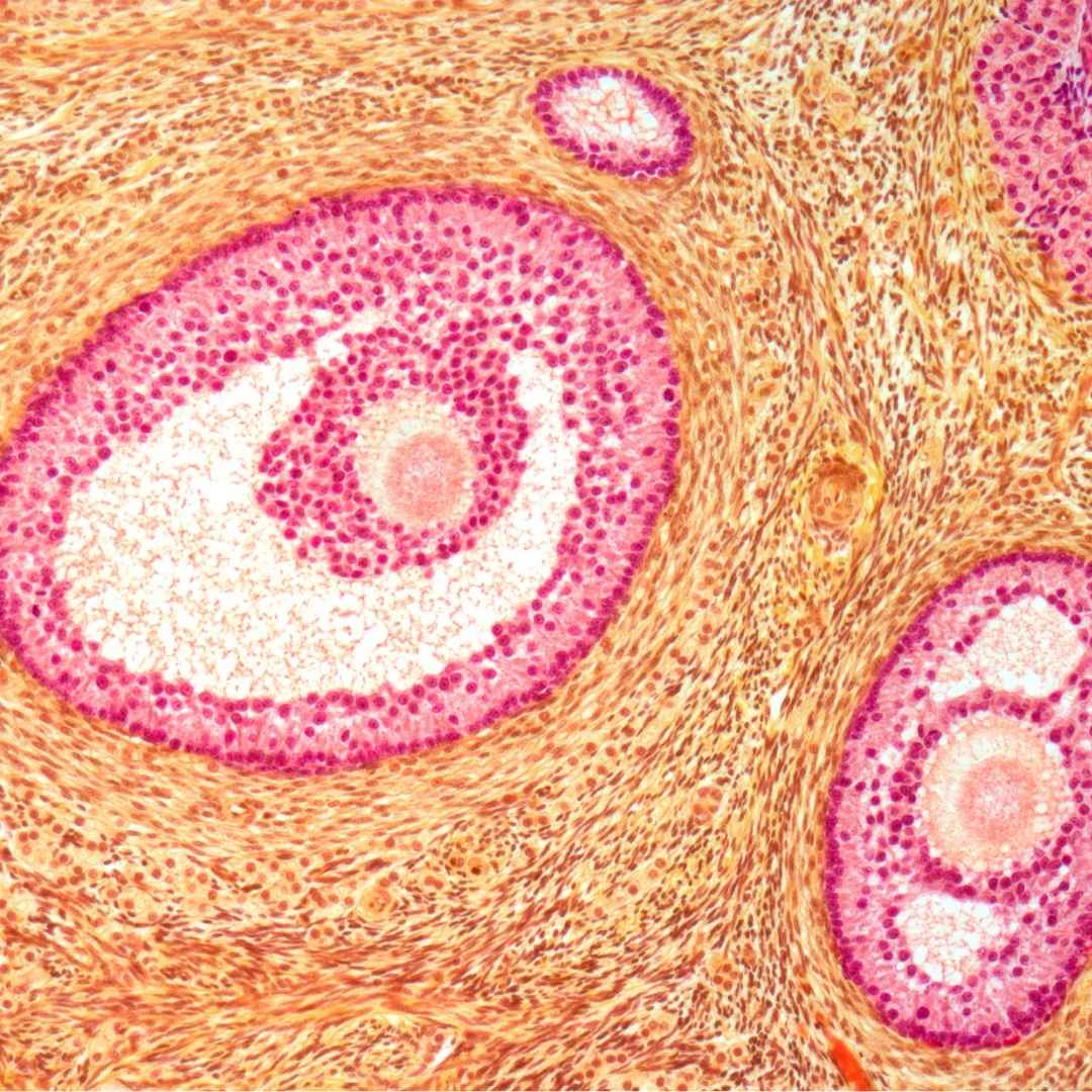
Ungefähr ein bis zwei Millionen dieser Eier beherbergt ein 'weiblicher' Körper also von Anfang an in den Eierstöcken. Für den Eisprung, auch Follikelsprung oder Ovulation genannt, bedarf es allerdings noch der Follikel; die reifen ab dem Zeitpunkt der Pubertät heran und ermöglichen, dass eine Eizelle sich beim ersten Eisprung lösen und auf den Weg machen kann. Und bam! So geht es also los mit der Fruchtbarkeit!

Monatlich reifen zwischen jeweils 15 und 20 Eier pro Eierstock heran. Diejenige Eizelle, die sich bis zur Mitte des Zyklus besonders gut entwickelt hat, wird dann abgestoßen und wandert durch den Eileiter in die Gebärmutter. In seltenen Fällen schaffen es zwei oder sogar noch mehr Eizellen in die Eileiter - was im Falle der Befruchtung der Zellen zweieiige Zwillinge, oder Mehrlinge, zur Folge hat.

Das Ei hüpft also nicht wirklich wie auf einem Trampolin durch Deinen Unterleib, das ganze läuft deutlich gemächlicher ab. Da der Vorgang aber durch das Platzen der Haut des Follikelbläschens, das die Eizelle zuvor beherbergt hat, in Gang gesetzt wird, wird der Vorgang des Eisprungs tatsächlich durch einen Sprung in Bewegung gesetzt.

  

Wann findet der Eisprung statt?

So wie alles, was den Zyklus betrifft, ist auch der Eisprung und sein Zeitpunkt von menstruierendem Menschen zu menstruierendem Menschen unterschiedlich. Abhängig ist das Ganze, na klar, vom Zyklus. Im Regelfall findet der Eisprung zwischen 10 und 16 Tagen vor der nächsten Periode statt. Zyklen fallen aber keinesfalls genormt aus, sondern sind individuell. Im Durchschnitt heißt es, dass der Eisprung am 14. Zyklustag stattfindet, aber auch das variiert durchaus.

 

Wie lange dauert der Eisprung?

Auch wenn es das Ei nicht wie verrückt durch den Eileiter in die Gebärmutter hüpft und der Prozess ruhiger abläuft, ist der Eisprung selbst tatsächlich ein sehr kurzer Vorgang. Sobald die die Eizelle durch Platzen des Follikelbläschens freigegeben wurde, wandert sie recht schnell durch den Eileiter und wird an dessen Ende aufgefangen und gelangt so in der Gebärmutter. Damit ist der Eisprung abgeschlossen.

 

Was passiert nach dem Eisprung?

Wozu das Ganze denn eigentlich? Was sucht denn die Eizelle in der Gebärmutter? Genau, wir haben es ja schon angedeutet - sie wartet darauf, befruchtet zu werden! Und was braucht man zur Befruchtung einer Eizelle? Die geheime Zutat lautet: Sperma!

Die Eizelle ist anschließend 12 bis 24 Stunden nach dem Eisprung befruchtbar. Beim Geschlechtsverkehr werden um die 15 Millionen Spermien ausgestoßen. Diese halten sich bis zu fünf Tage im 'weiblichen' Körper. Gelangt ein Spermium über die Eileiter bis zum Ei, kommt es zur Befruchtung.

 

Eisprung und fruchtbare Tage - Wo liegt der Unterschied?

Die fruchtbaren Tage sind die Tage, an denen die Wahrscheinlichkeit, schwanger zu werden, am höchsten ist. Doch das kurze Zeitfenster, in dem der Eisprung stattfindet, bildet nicht alleine die fruchtbaren Tage. In der Regel ist die Wahrscheinlichkeit, schwanger zu werden, an bis zu sieben Tagen des Zyklus gegeben. Geht man von einem Zyklus von 28 Tagen aus, ist das gar nicht so viel!

Will man schwanger werden, muss man also mit einem ziemlich kurzen Zeitfenster rechnen und den richtigen Zeitpunkt abpassen. Dieser beginnt zwei Tage vor dem Eisprung und am Tag danach ist er auch schon wieder vorbei. Da Spermien bis zu fünf Tage im 'weiblichen' Körper überleben können, ist die Möglichkeit, ein paar Tage vor dem Eisprung schwanger zu werden, durchaus möglich. Tatsächlich kann es auch außerhalb dieser fruchtbaren Tage zu einer Schwangerschaft kommen, was aber eher selten passiert.

Merke ich etwas vom Eisprung?

Auch das ist natürlich von Individuum zu Individuum unterschiedlich. Manche menstruierenden Menschen merken ganz genau, wann der Eisprung bei ihnen stattfindet, andere bekommen nichts davon mit. Es gibt aber ein paar mögliche Anzeichen, anhand derer Du Deinen Eisprung erkennen kannst:

  • Mittelschmerz: Hierbei tritt bei manchen ein leichtes bis starkes Ziehen im Unterleib auf.
  • Veränderter Zervixschleim: Während des Eisprungs verändert sich Dein Zervixschleim und somit auch Dein Ausfluss. Er wird zäher und zieht, wenn Du ihn zwischen die Finger nimmst, Fäden. Außerdem ist Dein Ausfluss in dieser Zeit heller und flüssiger. Das passiert, damit die Spermien besser zur Gebärmutter geleitet werden können.
  • Weicher Muttermund: Während des Eisprungs lässt der Muttermund sich schlechter ertasten, da er sich leicht öffnet und nach oben steigt, damit die Spermien besser zur Eizelle gelangen.
  • Gesteigerte Libido: Auch das kann an ein Anzeichen des Eisprungs sein. Ganz klar, die Natur hat fruchtbare Körper darauf getrimmt, eine Befruchtung zu ermöglichen!

 

Wie immer gilt auch beim Thema Eisprung: Listen to your Body!

Ob Du nun schwanger werden oder das auf jeden Fall verhindern willst: Lerne Deinen Körper kennen! Je mehr Du Dich mit den Vorgängen in Deinem Körper vertraut machst, desto besser kannst Du mitbestimmen! Dazu gehört auch, Unregelmäßigkeiten wie Schmerzen oder Scheidentrockenheit richtig einzuordnen und Deinem Körper in jeder Phase genau das zu geben, was er braucht.

 

FAQ: Eisprung – kurz erklärt

  • Wann findet die Ovulation statt?

    Meist 10 bis 16 Tage vor Beginn der nächsten Periode, im Durchschnitt um den 14. Zyklustag. Der Zeitpunkt kann je nach Zykluslänge variieren.

  • Wie lange dauert die Ovulation in der Regel?

    Der eigentliche Vorgang ist sehr kurz und dauert nur wenige Stunden. Die Eizelle ist danach etwa 12 bis 24 Stunden befruchtbar.

  • Welche Anzeichen deuten auf die Ovulation hin?

    Viele bemerken Mittelschmerz, veränderten Zervixschleim oder gesteigerte Libido. Auch ein weicherer Muttermund kann ein Hinweis sein.

  • Wie erkenne ich meine fruchtbaren Tage?

    Die fruchtbaren Tage liegen rund um den Eisprung, etwa 5 bis 7 Tage pro Zyklus. Zyklus-Apps, Temperaturmethode oder Ovulationstests können unterstützen.

  • Was passiert nach der Ovulation?

    Die Eizelle wandert in die Gebärmutter und wartet dort bis zu 24 Stunden auf eine mögliche Befruchtung. Wird sie nicht befruchtet, setzt die Periode ein.

FAQ: Eisprung – kurz erklärt

Wann findet die Ovulation statt?

Meist 10 bis 16 Tage vor Beginn der nächsten Periode, im Durchschnitt um den 14. Zyklustag. Der Zeitpunkt kann je nach Zykluslänge variieren.

Wie lange dauert die Ovulation in der Regel?

Der eigentliche Vorgang ist sehr kurz und dauert nur wenige Stunden. Die Eizelle ist danach etwa 12 bis 24 Stunden befruchtbar.

Welche Anzeichen deuten auf die Ovulation hin?

Viele bemerken Mittelschmerz, veränderten Zervixschleim oder gesteigerte Libido. Auch ein weicherer Muttermund kann ein Hinweis sein.

Wie erkenne ich meine fruchtbaren Tage?

Die fruchtbaren Tage liegen rund um den Eisprung, etwa 5 bis 7 Tage pro Zyklus. Zyklus-Apps, Temperaturmethode oder Ovulationstests können unterstützen.

Was passiert nach der Ovulation?

Die Eizelle wandert in die Gebärmutter und wartet dort bis zu 24 Stunden auf eine mögliche Befruchtung. Wird sie nicht befruchtet, setzt die Periode ein.

Quellen

  • Apotheken Umschau: So funktioniert der weibliche Zyklus
  • Apotheken Umschau: LH – Auslöser des Eisprungs
  • Eltern: Eisprung-Symptome – 10 Anzeichen für die Ovulation
  • MHplus Krankenkasse: Eisprung verstehen: Anzeichen & Zeitpunkt
  • Barmer: Wie Sie die fruchtbaren Tage erkennen

Hinweis:

Unsere Inhalte dienen der allgemeinen Information und sollen Dir helfen, Deinen Körper besser zu verstehen. Sie ersetzen jedoch keine ärztliche Untersuchung oder Beratung. Wenn Du gesundheitliche Beschwerden hast, unsicher bist oder starke Veränderungen bemerkst, wende Dich bitte immer an Deine Ärztin oder Deinen Arzt.

Illustration einer nachdenklichen Frau mit einem Fragezeichen in einer Gedankenblase, umgeben von verschiedenen Menstruationsprodukten: Tampons, Binden, Menstruationstassen und Periodenunterwäsche. Sie überlegt, welches Produkt sie wählen soll.

Nachhaltige Periodenprodukte im wissenschaftlichen Check

👩 Die wissenschaftliche Studie "Menstrual products: A comparable Life Cycle Assessment." untersucht die Ökobilanz verschiedener Periodenprodukte 🏆 Der klare Sieger: Die Menstruationstasse verursacht 99 % weniger Umweltbelastungen als Wegwerfprodukte 🍃 Die...